1066

Impacted Tooth - Causes, Symptoms, Diagnosis, Treatment, and Prevention

Impacted Tooth: Understanding the Condition and Its Implications

Introduction

An impacted tooth is a dental condition that occurs when a tooth fails to emerge fully into the mouth. This situation can lead to various complications, including pain, infection, and misalignment of other teeth. Understanding impacted teeth is crucial for maintaining oral health and preventing potential complications. In this article, we will explore the definition, causes, symptoms, diagnosis, treatment options, complications, prevention strategies, and long-term outlook of impacted teeth.

Definition

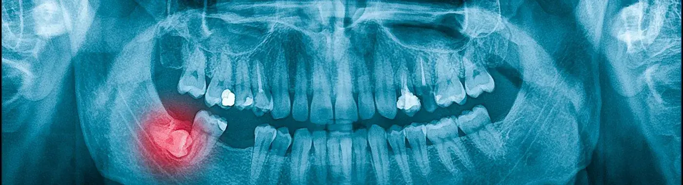
What is an Impacted Tooth?

An impacted tooth is one that is unable to break through the gum line and emerge into the mouth properly. This condition is most commonly associated with wisdom teeth, also known as third molars, but can occur with any tooth. Impacted teeth can be classified into several types based on their position and the direction in which they are impacted. The most common types include:

  • Mesioangular Impaction: The tooth is angled towards the front of the mouth.
  • Distoangular Impaction: The tooth is angled towards the back of the mouth.
  • Vertical Impaction: The tooth is positioned straight but is still unable to emerge.
  • Horizontal Impaction: The tooth is lying flat and is unable to erupt.

The significance of impacted teeth lies in their potential to cause pain, infection, and damage to adjacent teeth. Early detection and management are essential to prevent complications.

Causes and Risk Factors

Infectious/Environmental Causes

While impacted teeth are primarily a structural issue, certain environmental factors can contribute to their development. For instance, infections in the mouth can lead to inflammation and swelling of the gums, which may hinder the eruption of teeth. Additionally, poor oral hygiene can lead to gum disease, further complicating the eruption process.

Genetic/Autoimmune Causes

Genetics can play a significant role in the development of impacted teeth. Some individuals may inherit a predisposition to dental crowding or have jaw sizes that do not accommodate all teeth. Autoimmune conditions that affect oral health can also contribute to the likelihood of tooth impaction.

Lifestyle and Dietary Factors

Diet and lifestyle choices can influence dental health. A diet high in sugar and low in essential nutrients can lead to dental decay and gum disease, which may complicate the eruption of teeth. Additionally, habits such as thumb-sucking or prolonged use of pacifiers in children can affect the alignment of teeth and jaw development.

Key Risk Factors

Several risk factors can increase the likelihood of developing impacted teeth:

  • Age: Impacted teeth are most common in young adults, particularly during the late teens and early twenties when wisdom teeth typically emerge.
  • Gender: Studies suggest that women may be more likely to experience impacted wisdom teeth than men.
  • Geographic Location: Certain populations may have higher rates of impacted teeth due to genetic factors or dietary habits.
  • Underlying Conditions: Conditions such as dental crowding, jaw size discrepancies, and certain syndromes can increase the risk of tooth impaction.

Symptoms

Common Symptoms of Impacted Tooth

The symptoms of an impacted tooth can vary depending on the severity of the impaction and the presence of complications. Common symptoms include:

  • Pain: This can range from mild discomfort to severe pain in the jaw, gums, or surrounding teeth.
  • Swelling: Inflammation of the gums or jaw may occur, leading to noticeable swelling.
  • Infection: Impacted teeth can become infected, resulting in pus, bad breath, and fever.
  • Difficulty Opening the Mouth: Pain and swelling can make it challenging to open the mouth fully.
  • Tooth Decay: Impacted teeth can lead to decay in adjacent teeth due to misalignment and difficulty in cleaning.

Warning Signs for Immediate Medical Attention

Certain symptoms may indicate the need for immediate medical attention, including:

  • Severe, persistent pain that does not improve with over-the-counter pain relief.
  • Swelling that spreads to the face or neck.
  • Signs of infection, such as fever, chills, or pus drainage.
  • Difficulty swallowing or breathing.

Diagnosis

Clinical Evaluation

The diagnosis of an impacted tooth typically begins with a thorough clinical evaluation. This includes:

  • Patient History: The dentist will ask about symptoms, dental history, and any previous dental treatments.
  • Physical Examination: A visual examination of the mouth and gums will be conducted to assess the position of the teeth and any signs of infection or inflammation.

Diagnostic Tests

To confirm the diagnosis and determine the extent of the impaction, several diagnostic tests may be employed:

  • X-rays: Dental X-rays are crucial for visualizing the position of the impacted tooth and assessing its relationship with surrounding teeth and structures.
  • Cone Beam Computed Tomography (CBCT): In some cases, a 3D imaging technique may be used for a more detailed view of the impacted tooth and its surroundings.

Differential Diagnosis

It is essential to consider other conditions that may present similar symptoms, such as:

  • Dental abscess
  • Cysts or tumors in the jaw
  • Periodontal disease
  • Other dental issues, such as decay or gum disease

Treatment Options

Medical Treatments

The treatment for an impacted tooth often depends on the severity of the impaction and the presence of complications. Common medical treatments include:

  • Pain Management: Over-the-counter pain relievers, such as ibuprofen or acetaminophen, may be recommended to manage discomfort.
  • Antibiotics: If an infection is present, antibiotics may be prescribed to control the infection and prevent further complications.
  • Surgical Extraction: In many cases, surgical removal of the impacted tooth is necessary. This procedure may be performed by a dentist or an oral surgeon, depending on the complexity of the case.

Non-Pharmacological Treatments

In addition to medical treatments, several non-pharmacological approaches can help manage symptoms and promote healing:

  • Saltwater Rinses: Rinsing the mouth with warm saltwater can help reduce inflammation and promote healing.
  • Cold Compresses: Applying a cold compress to the outside of the jaw can help alleviate swelling and pain.
  • Dietary Modifications: Soft foods may be recommended to avoid aggravating the affected area.

Special Considerations for Different Populations

  • Pediatric Patients: Children may require special considerations regarding anesthesia and pain management during tooth extraction.
  • Geriatric Patients: Older adults may have additional health concerns that need to be addressed before surgery, such as blood thinners or other medications.

Complications

Potential Complications of Untreated Impacted Tooth

If left untreated, impacted teeth can lead to several complications, including:

  • Infection: An impacted tooth can become infected, leading to abscess formation and the spread of infection to surrounding tissues.
  • Damage to Adjacent Teeth: The pressure from an impacted tooth can cause damage or decay in neighboring teeth.
  • Cysts or Tumors: In some cases, impacted teeth can lead to the development of cysts or tumors in the jaw.
  • Misalignment of Teeth: Impacted teeth can contribute to misalignment and crowding of other teeth, leading to orthodontic issues.

Short-Term and Long-Term Complications

Short-term complications may include pain, swelling, and infection, while long-term complications can involve chronic dental issues, such as misalignment, recurrent infections, and the need for further dental interventions.

Prevention

Strategies for Preventing Impacted Tooth

While not all cases of impacted teeth can be prevented, several strategies can help reduce the risk:

  • Regular Dental Check-ups: Routine dental visits can help identify potential issues early and allow for timely intervention.
  • Good Oral Hygiene: Maintaining proper oral hygiene through regular brushing and flossing can help prevent infections and decay.
  • Healthy Diet: A balanced diet rich in vitamins and minerals can support overall dental health.
  • Avoiding Harmful Habits: Discouraging habits such as thumb-sucking in children can promote proper dental alignment.

Prognosis & Long-Term Outlook

Typical Course of the Disease

The prognosis for impacted teeth largely depends on the severity of the impaction and the presence of complications. With early diagnosis and appropriate treatment, most individuals can expect a positive outcome. Surgical extraction of impacted teeth is a common procedure, and many patients experience relief from symptoms and improved oral health following treatment.

Factors Influencing Prognosis

Several factors can influence the overall prognosis, including:

  • Early Diagnosis: Identifying impacted teeth early can lead to more straightforward treatment and better outcomes.
  • Treatment Adherence: Following post-operative care instructions and attending follow-up appointments can help prevent complications and promote healing.

Frequently Asked Questions (FAQs)

  1. What are the signs of an impacted tooth? Signs of an impacted tooth include pain, swelling, difficulty opening the mouth, and signs of infection such as fever or pus drainage. If you experience these symptoms, consult a dentist.
  2. How is an impacted tooth diagnosed? Diagnosis typically involves a clinical evaluation, patient history, and imaging studies such as X-rays to assess the position of the impacted tooth.
  3. What treatments are available for impacted teeth? Treatment options include pain management, antibiotics for infection, and surgical extraction of the impacted tooth.
  4. Can impacted teeth cause other dental problems? Yes, impacted teeth can lead to complications such as infection, damage to adjacent teeth, and misalignment of other teeth.
  5. Is surgery always necessary for impacted teeth? Not always. In some cases, if the tooth is not causing problems, a dentist may recommend monitoring it rather than immediate surgery.
  6. What can I do to prevent impacted teeth? Regular dental check-ups, good oral hygiene, and a healthy diet can help reduce the risk of impacted teeth.
  7. Are there any risks associated with tooth extraction? As with any surgical procedure, there are risks, including infection, bleeding, and nerve damage. However, these risks are generally low when performed by a qualified professional.
  8. How long does recovery take after tooth extraction? Recovery time can vary, but most individuals can expect to return to normal activities within a few days. Full healing may take a few weeks.
  9. Can children have impacted teeth? Yes, children can experience impacted teeth, particularly if they have dental crowding or other developmental issues.
  10. When should I see a dentist about an impacted tooth? If you experience pain, swelling, or signs of infection, it is essential to see a dentist promptly for evaluation and treatment.

When to See a Doctor

It is crucial to seek immediate medical attention if you experience any of the following serious symptoms:

  • Severe, persistent pain that does not improve with over-the-counter medications.
  • Swelling that spreads to the face or neck.
  • Signs of infection, such as fever, chills, or pus drainage.
  • Difficulty swallowing or breathing.

Conclusion & Disclaimer

In conclusion, impacted teeth are a common dental issue that can lead to various complications if left untreated. Understanding the causes, symptoms, diagnosis, treatment options, and prevention strategies is essential for maintaining oral health. If you suspect you have an impacted tooth, consult a dental professional for evaluation and appropriate care.

Disclaimer: This article is for informational purposes only and does not replace professional medical advice. Always consult a qualified healthcare provider for any medical concerns or questions regarding your health.

image image
Request a Callback
Request A Call Back
Request Type
Image
Doctor
Book Appointment
Appointments
View Book Appointment
Image
Hospitals
Find Hospital
Hospitals
View Find Hospital
Chat
Image
health-checkup
Book Health Checkup
Health Checks
View Book Health Checkup
Image
phone
Call Us
Call Us
View Call Us
Image
Doctor
Book Appointment
Appointments
View Book Appointment
Image
Hospitals
Find Hospital
Hospitals
View Find Hospital
Image
health-checkup
Book Health Checkup
Health Checks
View Book Health Checkup
Image
phone
Call Us
Call Us
View Call Us