1066

Hairy Cell Leukemia - Causes, Symptoms, Diagnosis, Treatment, and Prevention

Hairy Cell Leukemia: A Comprehensive Guide

Introduction

Hairy Cell Leukemia (HCL) is a rare type of blood cancer that affects the bone marrow and blood. It is classified as a chronic lymphoproliferative disorder, meaning it involves the overproduction of a specific type of white blood cell known as B lymphocytes. The significance of HCL lies in its unique characteristics, treatment options, and the impact it has on patients' lives. Understanding this condition is crucial for early diagnosis and effective management, which can lead to favorable outcomes.

Definition

What is Hairy Cell Leukemia?

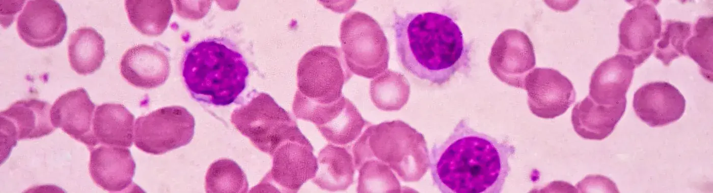
Hairy Cell Leukemia is a rare form of leukemia characterized by the accumulation of abnormal B cells that have a distinctive "hairy" appearance under a microscope. These cells proliferate in the bone marrow, leading to a decrease in normal blood cells, which can result in various health complications. HCL is typically slow-growing and can often be managed effectively with treatment, allowing many patients to lead normal lives.

Causes and Risk Factors

Infectious/Environmental Causes

While the exact cause of Hairy Cell Leukemia remains unclear, some studies suggest a potential link to certain viral infections, such as the Epstein-Barr virus (EBV). However, more research is needed to establish a definitive connection. Environmental factors, such as exposure to certain chemicals or pesticides, have also been investigated, but conclusive evidence is lacking.

Genetic/Autoimmune Causes

There is some evidence to suggest that genetic predisposition may play a role in the development of HCL. Individuals with a family history of blood cancers or autoimmune diseases may have a higher risk. Autoimmune conditions, such as rheumatoid arthritis or lupus, have also been associated with an increased likelihood of developing HCL.

Lifestyle and Dietary Factors

While lifestyle factors have not been directly linked to HCL, maintaining a healthy diet and lifestyle can support overall immune function. A balanced diet rich in fruits, vegetables, whole grains, and lean proteins may help reduce the risk of various cancers, including blood cancers.

Key Risk Factors

  • Age: HCL is most commonly diagnosed in adults aged 40 to 60.
  • Gender: Men are more likely to develop HCL than women, with a ratio of approximately 4:1.
  • Geographic Location: Some studies suggest that HCL may be more prevalent in certain geographic regions, although more research is needed.
  • Underlying Conditions: Individuals with a history of autoimmune diseases or other blood disorders may be at higher risk.

Symptoms

Common Symptoms of Hairy Cell Leukemia

The symptoms of Hairy Cell Leukemia can vary widely among individuals. Common symptoms include:

  • Fatigue: Persistent tiredness that does not improve with rest.
  • Frequent Infections: Increased susceptibility to infections due to low white blood cell counts.
  • Easy Bruising or Bleeding: This can occur due to low platelet counts.
  • Swollen Lymph Nodes: Enlargement of lymph nodes, particularly in the neck, armpits, or groin.
  • Abdominal Discomfort: This may be caused by an enlarged spleen or liver.
  • Weight Loss: Unexplained weight loss can occur in some patients.

Warning Signs

Certain symptoms may indicate the need for immediate medical attention, including:

  • Severe or persistent bleeding
  • High fever or chills
  • Severe abdominal pain
  • Difficulty breathing

If you experience any of these symptoms, it is essential to seek medical care promptly.

Diagnosis

Clinical Evaluation

The diagnosis of Hairy Cell Leukemia begins with a thorough clinical evaluation, including a detailed patient history and physical examination. The healthcare provider will assess symptoms, medical history, and any potential risk factors.

Diagnostic Tests

Several diagnostic tests are used to confirm HCL:

  • Blood Tests: A complete blood count (CBC) can reveal low levels of red blood cells, white blood cells, and platelets.
  • Bone Marrow Biopsy: This procedure involves taking a sample of bone marrow to examine for the presence of hairy cells.
  • Immunophenotyping: This test helps identify the specific type of cells present in the bone marrow.
  • CT Scans: Imaging studies may be used to assess the size of the spleen and lymph nodes.

Differential Diagnosis

It is essential to differentiate HCL from other types of leukemia and lymphomas, such as chronic lymphocytic leukemia (CLL) and acute lymphoblastic leukemia (ALL). A thorough evaluation by a hematologist is crucial for accurate diagnosis.

Treatment Options

Medical Treatments

Treatment for Hairy Cell Leukemia typically involves:

  • Chemotherapy: The most common treatment for HCL is a chemotherapy drug called cladribine, which targets and destroys the abnormal hairy cells.
  • Immunotherapy: Some patients may benefit from immunotherapy, which helps the immune system recognize and attack cancer cells.
  • Targeted Therapy: Newer treatments that specifically target the genetic mutations associated with HCL are being researched.

Non-Pharmacological Treatments

In addition to medical treatments, patients may consider:

  • Lifestyle Modifications: Regular exercise, a balanced diet, and stress management techniques can support overall health.
  • Dietary Changes: A diet rich in antioxidants and anti-inflammatory foods may help improve immune function.
  • Alternative Therapies: Some patients explore complementary therapies, such as acupuncture or meditation, to manage symptoms and improve quality of life.

Special Considerations

  • Pediatric Patients: HCL is rare in children, and treatment approaches may differ from those used in adults.
  • Geriatric Patients: Older adults may require tailored treatment plans that consider their overall health and comorbidities.

Complications

Potential Complications

If left untreated or poorly managed, Hairy Cell Leukemia can lead to several complications, including:

  • Infections: Due to low white blood cell counts, patients are at increased risk for infections.
  • Bleeding Disorders: Low platelet counts can result in easy bruising and bleeding.
  • Organ Enlargement: The spleen and liver may become enlarged, leading to discomfort and other complications.

Short-Term and Long-Term Complications

Short-term complications may include severe infections or bleeding episodes, while long-term complications can involve chronic fatigue, ongoing susceptibility to infections, and potential transformation to more aggressive forms of leukemia.

Prevention

Strategies for Prevention

While there is no guaranteed way to prevent Hairy Cell Leukemia, certain strategies may help reduce the risk:

  • Vaccinations: Staying up-to-date on vaccinations can help prevent infections.
  • Hygiene Practices: Good hygiene can reduce the risk of infections.
  • Dietary Modifications: A healthy diet rich in fruits, vegetables, and whole grains may support immune health.
  • Lifestyle Changes: Regular exercise, avoiding tobacco, and limiting alcohol consumption can contribute to overall well-being.

Prognosis & Long-Term Outlook

Typical Course of the Disease

Hairy Cell Leukemia is generally considered a chronic condition that can be managed effectively with treatment. Many patients achieve remission and can lead normal lives. However, regular follow-up care is essential to monitor for potential relapses.

Factors Influencing Prognosis

Several factors can influence the overall prognosis for individuals with HCL, including:

  • Early Diagnosis: Early detection and treatment can lead to better outcomes.
  • Treatment Adherence: Following the prescribed treatment plan is crucial for achieving remission.
  • Overall Health: The presence of other health conditions can impact treatment options and outcomes.

Frequently Asked Questions (FAQs)

  1. What are the early signs of Hairy Cell Leukemia? Early signs may include fatigue, frequent infections, and easy bruising. If you notice these symptoms, consult a healthcare provider for evaluation.
  2. How is Hairy Cell Leukemia diagnosed? Diagnosis typically involves blood tests, a bone marrow biopsy, and imaging studies to assess the extent of the disease.
  3. What treatments are available for Hairy Cell Leukemia? Treatments may include chemotherapy, immunotherapy, and targeted therapy, depending on the individual case.
  4. Can Hairy Cell Leukemia be cured? While HCL is often manageable and can lead to remission, it is considered a chronic condition that may require ongoing monitoring.
  5. What lifestyle changes can help manage Hairy Cell Leukemia? Maintaining a healthy diet, regular exercise, and stress management can support overall health and well-being.
  6. Is Hairy Cell Leukemia hereditary? There may be a genetic component, as individuals with a family history of blood cancers may have a higher risk.
  7. What are the long-term effects of Hairy Cell Leukemia treatment? Long-term effects can include ongoing fatigue, susceptibility to infections, and the potential for relapse.
  8. When should I seek medical attention for Hairy Cell Leukemia symptoms? Seek immediate medical attention for severe bleeding, high fever, or significant abdominal pain.
  9. Are there any clinical trials for Hairy Cell Leukemia? Yes, clinical trials are ongoing to explore new treatment options. Discuss with your healthcare provider if you are interested.
  10. How often should I have follow-up appointments after treatment? Follow-up appointments are typically scheduled every few months initially, then less frequently as the patient remains stable. Your doctor will provide a personalized schedule.

When to See a Doctor

Seek immediate medical attention if you experience:

  • Severe or persistent bleeding
  • High fever or chills
  • Severe abdominal pain
  • Difficulty breathing

These symptoms may indicate complications that require urgent care.

Conclusion & Disclaimer

Hairy Cell Leukemia is a rare but manageable form of blood cancer. Understanding its causes, symptoms, diagnosis, and treatment options is essential for patients and their families. Early detection and adherence to treatment can lead to favorable outcomes and improved quality of life.

This article is for informational purposes only and does not replace professional medical advice. Always consult a healthcare provider for personalized guidance and treatment options.

image image
Request a Callback
Request A Call Back
Request Type
Image
Doctor
Book Appointment
Appointments
View Book Appointment
Image
Hospitals
Find Hospital
Hospitals
View Find Hospital
Image
health-checkup
Book Health Checkup
Health Checks
View Book Health Checkup
Image
phone
Call Us
Call Us
View Call Us
Image
Doctor
Book Appointment
Appointments
View Book Appointment
Image
Hospitals
Find Hospital
Hospitals
View Find Hospital
Image
health-checkup
Book Health Checkup
Health Checks
View Book Health Checkup
Image
phone
Call Us
Call Us
View Call Us