1066

Enamel Hypoplasia - Causes, Symptoms, Diagnosis, Treatment, and Prevention

Enamel Hypoplasia: Understanding the Condition and Its Implications

Introduction

Enamel hypoplasia is a dental condition characterized by the underdevelopment of tooth enamel, the hard outer layer that protects teeth from decay and damage. This condition can lead to various dental issues, including increased susceptibility to cavities, sensitivity, and aesthetic concerns. Understanding enamel hypoplasia is crucial for both prevention and management, as it can significantly impact oral health and overall well-being.

Definition

What is Enamel Hypoplasia?

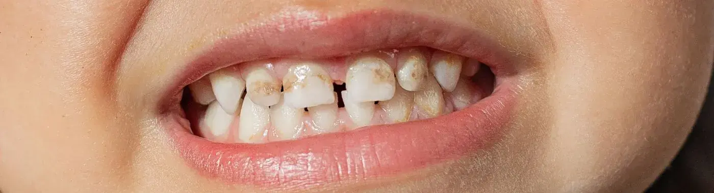
Enamel hypoplasia is defined as a developmental defect of the enamel, resulting in a thinner or incomplete enamel layer on the teeth. This condition can manifest in various forms, including pits, grooves, or a smooth surface that is less mineralized than normal enamel. The severity of enamel hypoplasia can vary from mild to severe, affecting one or multiple teeth. It is essential to recognize that enamel hypoplasia is not a disease but rather a developmental anomaly that occurs during the formation of teeth.

Causes and Risk Factors

Infectious/Environmental Causes

Enamel hypoplasia can be influenced by various infectious agents and environmental factors. For instance, certain illnesses during pregnancy, such as rubella or syphilis, can affect the developing fetus and lead to enamel defects. Additionally, high fever during childhood, particularly from illnesses like chickenpox or measles, can disrupt enamel formation. Environmental factors, such as exposure to high levels of fluoride (fluorosis) or other toxic substances, can also contribute to the development of enamel hypoplasia.

Genetic/Autoimmune Causes

Genetic predisposition plays a significant role in enamel hypoplasia. Some individuals may inherit conditions that affect enamel development, such as amelogenesis imperfecta, a genetic disorder that results in abnormal enamel formation. Autoimmune diseases, which can affect the body's ability to produce healthy tissues, may also contribute to enamel hypoplasia. Understanding the genetic and autoimmune components is crucial for identifying individuals at risk.

Lifestyle and Dietary Factors

Diet and lifestyle choices can significantly impact enamel health. A diet lacking essential nutrients, particularly calcium and vitamin D, can hinder proper enamel formation. Additionally, excessive consumption of sugary or acidic foods can lead to enamel erosion, exacerbating the effects of hypoplasia. Poor oral hygiene practices can also contribute to the development of cavities and other dental issues in individuals with enamel hypoplasia.

Key Risk Factors

  • Age: Children are particularly vulnerable during the critical periods of tooth development.
  • Gender: Some studies suggest that enamel hypoplasia may be more prevalent in females than males.
  • Geographic Location: Certain regions with high fluoride levels in drinking water may see higher rates of enamel hypoplasia.
  • Underlying Conditions: Individuals with chronic illnesses, malnutrition, or those undergoing certain medical treatments may be at increased risk.

Symptoms

Common Symptoms of Enamel Hypoplasia

The symptoms of enamel hypoplasia can vary depending on the severity of the condition. Common symptoms include:

  • Discoloration: Teeth may appear yellow, brown, or white, depending on the degree of enamel loss.
  • Pitting or Grooves: The surface of the teeth may have visible pits or grooves, making them more susceptible to decay.
  • Sensitivity: Individuals may experience increased sensitivity to hot, cold, or sweet foods and beverages.
  • Cavities: Due to weakened enamel, individuals with enamel hypoplasia are at a higher risk of developing cavities.

Warning Signs for Immediate Medical Attention

Certain symptoms may indicate the need for immediate medical attention, including:

  • Severe tooth pain or discomfort
  • Swelling or inflammation in the gums
  • Signs of infection, such as fever or pus around the teeth
  • Rapid deterioration of dental health

Diagnosis

Clinical Evaluation

The diagnosis of enamel hypoplasia typically begins with a thorough clinical evaluation. A dentist will take a detailed patient history, including any relevant medical conditions, medications, and dietary habits. A physical examination of the teeth will be conducted to assess the extent of enamel loss and identify any associated dental issues.

Diagnostic Tests

While a clinical evaluation is often sufficient for diagnosis, additional diagnostic tests may be employed, including:

  • X-rays: Dental X-rays can help assess the underlying structure of the teeth and identify any cavities or other issues.
  • Laboratory Tests: In some cases, blood tests may be conducted to evaluate nutritional deficiencies or underlying health conditions.
  • Specialized Procedures: In rare cases, a biopsy may be performed to rule out other dental conditions.

Differential Diagnosis

It is essential to differentiate enamel hypoplasia from other dental conditions that may present similar symptoms, such as:

  • Enamel Fluorosis: Caused by excessive fluoride exposure, leading to discoloration and surface irregularities.
  • Amelogenesis Imperfecta: A genetic disorder affecting enamel formation, resulting in thin or absent enamel.
  • Dental Caries: Cavities that may mimic the appearance of enamel hypoplasia.

Treatment Options

Medical Treatments

The treatment of enamel hypoplasia focuses on managing symptoms and preventing further dental issues. Medical treatments may include:

  • Fluoride Treatments: Professional fluoride applications can help strengthen weakened enamel and reduce the risk of cavities.
  • Dental Sealants: Sealants can be applied to the chewing surfaces of teeth to provide an additional layer of protection against decay.
  • Restorative Procedures: In cases of severe enamel loss, restorative treatments such as crowns or veneers may be necessary to restore function and aesthetics.

Non-Pharmacological Treatments

In addition to medical treatments, non-pharmacological approaches can be beneficial:

  • Dietary Modifications: A balanced diet rich in calcium, vitamin D, and phosphorus can support enamel health. Limiting sugary and acidic foods is also crucial.
  • Oral Hygiene Practices: Regular brushing with fluoride toothpaste and flossing can help prevent cavities and maintain oral health.
  • Regular Dental Check-ups: Routine dental visits are essential for monitoring enamel health and addressing any issues promptly.

Special Considerations for Different Populations

  • Pediatric Patients: Children with enamel hypoplasia may require specialized dental care to address their unique needs and ensure proper development of their adult teeth.
  • Geriatric Patients: Older adults may face additional challenges related to enamel hypoplasia, including increased sensitivity and a higher risk of cavities. Tailored treatment plans are essential for this population.

Complications

Potential Complications of Untreated Enamel Hypoplasia

If left untreated, enamel hypoplasia can lead to several complications, including:

  • Increased Risk of Cavities: Weakened enamel makes teeth more susceptible to decay, leading to cavities and potential tooth loss.
  • Aesthetic Concerns: Discoloration and surface irregularities can affect an individual's smile and self-esteem.
  • Sensitivity Issues: Ongoing sensitivity can lead to discomfort and difficulty enjoying certain foods and beverages.

Short-term and Long-term Complications

Short-term complications may include pain and discomfort from cavities, while long-term complications can involve chronic dental issues, including the need for extensive restorative work or tooth extraction.

Prevention

Strategies for Preventing Enamel Hypoplasia

Preventing enamel hypoplasia involves addressing risk factors and promoting good oral health practices. Strategies include:

  • Vaccinations: Ensuring that children receive vaccinations to prevent infectious diseases that can affect enamel development.
  • Hygiene Practices: Teaching children proper oral hygiene techniques from an early age can help prevent dental issues.
  • Dietary Modifications: Encouraging a balanced diet rich in essential nutrients can support healthy enamel development.
  • Regular Dental Visits: Routine check-ups can help identify and address potential issues before they become severe.

Prognosis & Long-Term Outlook

Typical Course of the Disease

The prognosis for individuals with enamel hypoplasia varies depending on the severity of the condition and the effectiveness of treatment. Early diagnosis and intervention can significantly improve outcomes, allowing individuals to maintain good oral health.

Factors Influencing Prognosis

  • Severity of Enamel Loss: More severe cases may require extensive treatment and ongoing management.
  • Adherence to Treatment: Following recommended dental care and lifestyle modifications can improve long-term outcomes.
  • Underlying Health Conditions: Individuals with chronic health issues may face additional challenges in managing enamel hypoplasia.

Frequently Asked Questions (FAQs)

  1. What causes enamel hypoplasia? Enamel hypoplasia can be caused by various factors, including infections during pregnancy, high fever in childhood, nutritional deficiencies, and genetic predisposition. Environmental factors, such as excessive fluoride exposure, can also contribute.
  2. How can I tell if I have enamel hypoplasia? Common signs of enamel hypoplasia include discoloration of teeth, visible pits or grooves, increased sensitivity, and a higher risk of cavities. If you notice these symptoms, it is essential to consult a dentist for evaluation.
  3. Is enamel hypoplasia treatable? Yes, enamel hypoplasia is treatable. Treatment options may include fluoride treatments, dental sealants, and restorative procedures to address cavities and improve aesthetics.
  4. Can enamel hypoplasia affect adults? While enamel hypoplasia primarily occurs during tooth development in childhood, adults can experience its effects if they had the condition as children. Ongoing dental care is essential for managing symptoms.
  5. What dietary changes can help with enamel hypoplasia? A diet rich in calcium, vitamin D, and phosphorus can support enamel health. Limiting sugary and acidic foods can also help prevent further enamel erosion and cavities.
  6. How often should I see a dentist if I have enamel hypoplasia? Individuals with enamel hypoplasia should have regular dental check-ups, typically every six months, to monitor their oral health and address any issues promptly.
  7. Can enamel hypoplasia be prevented? While not all cases of enamel hypoplasia can be prevented, certain strategies can reduce the risk, such as ensuring proper nutrition during pregnancy, maintaining good oral hygiene, and avoiding excessive fluoride exposure.
  8. Are there any home remedies for enamel hypoplasia? While there are no specific home remedies for enamel hypoplasia, maintaining good oral hygiene, using fluoride toothpaste, and following a balanced diet can help manage symptoms and prevent complications.
  9. When should I seek medical attention for enamel hypoplasia? You should seek medical attention if you experience severe tooth pain, swelling in the gums, or signs of infection. Regular dental visits are also essential for monitoring your condition.
  10. Can enamel hypoplasia lead to tooth loss? If left untreated, enamel hypoplasia can increase the risk of cavities and other dental issues, potentially leading to tooth loss. Early intervention and proper dental care are crucial for preventing this outcome.

When to See a Doctor

It is essential to seek immediate medical attention if you experience:

  • Severe tooth pain or discomfort
  • Swelling or inflammation in the gums
  • Signs of infection, such as fever or pus around the teeth
  • Rapid deterioration of dental health

Conclusion & Disclaimer

Enamel hypoplasia is a significant dental condition that can impact oral health and overall well-being. Understanding its causes, symptoms, and treatment options is crucial for effective management. By adopting preventive measures and seeking timely dental care, individuals can maintain healthy teeth and minimize complications associated with enamel hypoplasia.

Disclaimer: This article is for informational purposes only and does not replace professional medical advice. Always consult a qualified healthcare provider for personalized guidance and treatment options.

Could not find what you are looking for? 

Request a Callback

Image
Image
Request A Call Back
Request Type
Image
Doctor
Book Appointment
Book Appt.
View Book Appointment
Image
Hospitals
Find Hospital
Hospitals
View Find Hospital
Image
health-checkup
Book Health Checkup
Health Checkup
View Book Health Checkup
Image
Doctor
Book Appointment
Book Appt.
View Book Appointment
Image
Hospitals
Find Hospital
Hospitals
View Find Hospital
Image
health-checkup
Book Health Checkup
Health Checkup
View Book Health Checkup