1066

Dextrocardia Situs Inversus - Causes, Symptoms, Diagnosis, Treatment, and Prevention

Dextrocardia Situs Inversus: A Comprehensive Guide

Introduction

Dextrocardia Situs Inversus is a rare congenital condition where the heart and other internal organs are positioned in the opposite direction to their normal anatomical placement. While it may sound alarming, most individuals with dextrocardia situs inversus can live normal lives without major complications. However, it can have significant implications for diagnosis, medical treatment, and emergency care. In this article, we’ll explore the definition, causes, symptoms, diagnosis, treatment options, and more to provide a complete understanding of this condition.

Definition: What is Dextrocardia Situs Inversus?

Dextrocardia Situs Inversus is a condition in which the heart is positioned on the right side of the chest instead of the left, while other organs like the liver, stomach, and spleen may be mirror-imaged, on the opposite sides of their typical positions. The term "situs inversus" refers to the reversal of internal organ positioning, and "dextrocardia" specifically refers to the heart being on the right side.

This condition is typically congenital, meaning it is present at birth. It affects approximately 1 in 10,000 to 1 in 20,000 individuals, and it can either occur in isolation or be part of other syndromes. The condition itself is not usually life-threatening, but it may present challenges during medical interventions, especially when physicians are unaware of the organ inversion.

Causes and Risk Factors

The precise causes of Dextrocardia Situs Inversus are not fully understood, but several factors are believed to contribute to its development.

Infectious/Environmental Causes:

Currently, there is limited evidence to suggest that infectious agents or environmental factors play a significant role in causing dextrocardia situs inversus. However, some studies have explored the role of prenatal exposures, though no definitive links have been established.

Genetic/Autoimmune Causes:

  1. Genetics:
    • Inherited Syndromes: Dextrocardia Situs Inversus can occur as part of a syndrome, such as Kartagener syndrome or Primary Ciliary Dyskinesia, which are genetic conditions that affect the cilia (tiny hair-like structures) and cause problems with the movement of cells and fluids within the body.
    • Familial Occurrence: There are cases where Dextrocardia Situs Inversus is seen in families, suggesting a possible genetic predisposition. However, most cases are isolated and occur sporadically without a known family history.
  2. Ciliary Defects: Ciliary dysfunction is another factor that can lead to situs inversus. Defective cilia can lead to abnormal positioning of organs during fetal development, resulting in situs inversus and dextrocardia.

Lifestyle and Dietary Factors:

There are no clear lifestyle or dietary factors that contribute directly to the development of Dextrocardia Situs Inversus. However, overall maternal health, prenatal care, and avoiding teratogenic exposures (substances that could harm fetal development) are always essential for healthy pregnancies.

Key Risk Factors:

  1. Genetic Mutations: Certain inherited genetic mutations increase the risk of Dextrocardia Situs Inversus.
  2. Gender: The condition affects both males and females equally, although some associated syndromes (like Kartagener syndrome) may present with slightly different frequencies in males and females.
  3. Underlying Conditions: Dextrocardia Situs Inversus is often associated with conditions such as Kartagener syndrome, which can affect the respiratory system and lead to chronic respiratory issues.
  4. Geographic Location: Dextrocardia Situs Inversus is a rare condition, and its prevalence does not vary significantly by geographic region.

Symptoms of Dextrocardia Situs Inversus

In many cases, individuals with dextrocardia situs inversus may not experience any symptoms, and the condition is often discovered incidentally during a routine medical exam or imaging studies, such as a chest X-ray or ultrasound. However, certain symptoms may arise, particularly if the condition is part of a syndrome or if the person develops complications.

Common Symptoms:

  1. Chest Pain or Discomfort: Some individuals may experience chest pain or discomfort, but this is typically related to other underlying conditions (e.g., heart disease) and not directly due to the heart's position.
  2. Breathing Difficulties: If dextrocardia situs inversus is associated with a condition like Kartagener syndrome, individuals may experience chronic respiratory issues such as coughing, wheezing, or difficulty breathing due to the presence of ciliary defects that affect the lungs and sinuses.
  3. Heart Murmurs or Abnormal Heart Sounds: Although the heart's location is altered, it may function normally. However, in rare cases, the abnormal heart position may be associated with congenital heart defects that lead to murmurs or irregular heartbeats.
  4. Situs Inversus-Related Symptoms: When other organs are mirror-imaged, some individuals may experience digestive discomfort, such as acid reflux or difficulties with digestion, though these symptoms are not directly caused by dextrocardia.

Warning Signs for Immediate Medical Attention:

  • Severe chest pain or pressure that may suggest a cardiac emergency.
  • Difficulty breathing or persistent coughing, especially if it is associated with chronic infections or respiratory distress.
  • Sudden and unexplained dizziness, fainting, or loss of consciousness, which may indicate a cardiac arrhythmia or other life-threatening condition.

Diagnosis of Dextrocardia Situs Inversus

Diagnosing Dextrocardia Situs Inversus typically occurs incidentally when a doctor orders imaging tests for other reasons, such as to assess heart health or to investigate unexplained symptoms.

Clinical Evaluation:

  1. Patient History and Physical Examination:
    • A doctor will begin by taking a thorough medical history, including any family history of congenital conditions or respiratory issues. They will ask about symptoms like chest pain, shortness of breath, or frequent respiratory infections.
    • A physical exam may reveal signs of situs inversus, such as an unusual placement of the heart sounds or abnormal lung sounds. However, these signs alone are not sufficient for diagnosis.
  2. Imaging Studies:
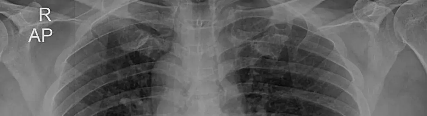
    • Chest X-Ray: A chest X-ray can reveal the abnormal positioning of the heart on the right side of the chest. This may prompt further investigation into the position of other internal organs.
    • Echocardiogram: An echocardiogram (ultrasound of the heart) is used to visualize the heart’s function and structure. It is often performed to rule out any congenital heart defects that may accompany dextrocardia.
    • CT Scan or MRI: In some cases, doctors may order a CT scan or MRI to get detailed images of the internal organs and assess the degree of situs inversus and any associated conditions.

Differential Diagnosis:

It is essential to distinguish dextrocardia situs inversus from other conditions, such as:

  • Heart Transposition: A congenital defect where the heart is reversed, but unlike situs inversus, it is associated with life-threatening complications.
  • Congenital Heart Defects: Such as atrial septal defects, ventricular septal defects, and others that may present with symptoms similar to dextrocardia.

Treatment Options for Dextrocardia Situs Inversus

While Dextrocardia Situs Inversus itself typically requires no treatment, if it is associated with other congenital defects or syndromes, medical intervention may be necessary.

Medical Treatments:

  1. Management of Associated Conditions:
    • If dextrocardia situs inversus is part of a syndrome like Kartagener syndrome, treatment may focus on managing respiratory infections and improving lung function. This might include regular chest physiotherapy, antibiotics for infections, and medications to manage lung conditions.
  2. Cardiac Monitoring:
    • For individuals with dextrocardia who also have congenital heart defects, ongoing cardiac monitoring may be necessary to assess heart function and detect any arrhythmias or structural issues that need attention.
  3. Surgical Options:
    • In rare cases, surgical intervention may be required to correct congenital heart defects or other complications related to the mirrored position of organs.

Non-Pharmacological Treatments:

  1. Lifestyle Modifications:
    • Individuals with dextrocardia situs inversus who experience respiratory issues should avoid exposure to pollutants, quit smoking (if applicable), and maintain a healthy lifestyle to minimize complications.
  2. Dietary Changes:
    • A diet rich in vitamins and minerals to support overall health and prevent infections is recommended, especially for those with underlying respiratory conditions.
  3. Alternative Therapies:
    • In cases where chronic sinus or lung infections are present, some patients benefit from alternative therapies, such as acupuncture or breathing exercises, although these should always be discussed with a healthcare provider.

Complications of Dextrocardia Situs Inversus

While Dextrocardia Situs Inversus itself is not typically dangerous, it can be associated with complications, especially if other organ systems are involved.

Short-Term Complications:

  • Respiratory Infections: Individuals with associated ciliary defects may have an increased risk of chronic lung infections.
  • Cardiac Arrhythmias: If there are congenital heart defects, arrhythmias can occur, requiring medical attention.

Long-Term Complications:

  • Chronic Respiratory Conditions: Persistent lung issues, particularly in those with Kartagener syndrome, can affect quality of life.
  • Heart Issues: Over time, individuals with dextrocardia and congenital heart defects may experience heart failure or other complications if not adequately managed.

Prevention of Dextrocardia Situs Inversus

There are no known strategies for preventing Dextrocardia Situs Inversus, as it is a congenital condition that typically results from genetic factors. However, general prenatal care, including avoiding teratogenic substances (such as alcohol, tobacco, and certain medications), can reduce the risk of other congenital abnormalities.

Prognosis & Long-Term Outlook

The prognosis for individuals with Dextrocardia Situs Inversus is generally favorable, particularly if the condition is isolated without other associated defects. With early detection and appropriate management of any related conditions, individuals can lead normal lives.

Factors that influence prognosis include:

  • Presence of Congenital Heart Defects: These can affect long-term health and require ongoing monitoring.
  • Respiratory Function: Chronic respiratory issues may impact quality of life, but with appropriate treatment, many people manage these challenges effectively.

Frequently Asked Questions (FAQs)

  1. What is Dextrocardia Situs Inversus?

    Dextrocardia Situs Inversus is a rare congenital condition where the heart is positioned on the right side of the chest, and other internal organs are mirror-imaged.

  2. Is Dextrocardia Situs Inversus dangerous?

    Generally, the condition itself is not dangerous, but associated heart defects or respiratory issues may require medical attention.

  3. Can Dextrocardia Situs Inversus be detected early?

    Yes, the condition is often detected early through imaging studies like X-rays or echocardiograms, especially if congenital heart defects are present.

  4. What are the symptoms of Dextrocardia Situs Inversus?

    Symptoms may include chest pain, breathing difficulties, and, in some cases, heart murmurs. However, many people with the condition have no symptoms.

  5. How is Dextrocardia Situs Inversus treated?

    Treatment focuses on managing any underlying conditions, such as congenital heart defects or respiratory issues. There is no specific treatment for situs inversus itself.

  6. Can people with Dextrocardia Situs Inversus live normal lives?

    Yes, most individuals with Dextrocardia Situs Inversus live normal lives, though they may need monitoring for any associated conditions.

  7. Are there any risks during pregnancy for someone with Dextrocardia Situs Inversus?

    Pregnant individuals with this condition can have a normal pregnancy, but they should consult their healthcare provider for proper monitoring.

  8. Is Dextrocardia Situs Inversus inherited?

    It can be inherited, particularly in cases where it is associated with genetic syndromes like Kartagener syndrome.

  9. How is Dextrocardia Situs Inversus diagnosed?

    Diagnosis is usually made via imaging studies like chest X-rays, echocardiograms, or CT scans, often during investigations for other health concerns.

  10. What complications can arise from Dextrocardia Situs Inversus?

    Complications can include chronic respiratory issues and cardiac arrhythmias, especially if associated with other congenital defects.

When to See a Doctor

If you experience chest pain, difficulty breathing, unexplained dizziness, or fainting, it’s important to seek medical attention immediately. These symptoms could be related to serious heart or lung issues, especially if you have a known history of Dextrocardia Situs Inversus.

Conclusion & Disclaimer

Dextrocardia Situs Inversus is a rare but largely non-threatening condition in which the heart and other organs are positioned in reverse from their normal locations. While the condition itself may not require treatment, it is important to monitor for associated health issues like respiratory infections and heart defects. Early diagnosis, proper medical care, and lifestyle adjustments can help individuals manage any potential complications.

Disclaimer: This article is intended for informational purposes only and should not be used as a substitute for professional medical advice. Always consult with a healthcare provider for diagnosis and treatment.

image image
Request a Callback
Request A Call Back
Request Type
Image
Doctor
Book Appointment
Appointments
View Book Appointment
Image
Hospitals
Find Hospital
Hospitals
View Find Hospital
Chat
Image
health-checkup
Book Health Checkup
Health Checks
View Book Health Checkup
Image
phone
Call Us
Call Us
View Call Us
Image
Doctor
Book Appointment
Appointments
View Book Appointment
Image
Hospitals
Find Hospital
Hospitals
View Find Hospital
Image
health-checkup
Book Health Checkup
Health Checks
View Book Health Checkup
Image
phone
Call Us
Call Us
View Call Us