1066

Bullous Emphysema - Causes, Symptoms, Diagnosis, Treatment, and Prevention

Bullous Emphysema: Understanding a Complex Lung Condition

Introduction

Bullous emphysema is a specific form of emphysema, a chronic lung condition that affects the air sacs (alveoli) in the lungs. This condition is characterized by the formation of large air-filled spaces, known as bullae, which can significantly impair lung function. Understanding bullous emphysema is crucial, as it can lead to serious health complications if left untreated. This article aims to provide a comprehensive overview of bullous emphysema, including its causes, symptoms, diagnosis, treatment options, and more.

Definition

What is Bullous Emphysema?

Bullous emphysema is a subtype of emphysema, a progressive lung disease that falls under the umbrella of chronic obstructive pulmonary disease (COPD). In bullous emphysema, the alveoli become damaged and lose their elasticity, leading to the formation of large, abnormal air spaces (bullae) within the lungs. These bullae can occupy significant portions of lung tissue, reducing the surface area available for gas exchange and making it difficult for individuals to breathe. This condition is often associated with long-term smoking, but it can also occur in non-smokers due to other factors.

Causes and Risk Factors

Infectious/Environmental Causes

While bullous emphysema is primarily linked to smoking, environmental factors can also play a role. Exposure to air pollutants, such as industrial fumes, dust, and chemicals, can contribute to lung damage. Additionally, recurrent respiratory infections may exacerbate existing lung conditions, leading to the development of bullous emphysema.

Genetic/Autoimmune Causes

Genetic factors can also predispose individuals to bullous emphysema. A deficiency in alpha-1 antitrypsin, a protein that protects the lungs from damage, can lead to early onset emphysema, including the bullous form. Autoimmune conditions that affect lung tissue may also contribute to the development of this disease.

Lifestyle and Dietary Factors

Lifestyle choices, particularly smoking, are the most significant risk factors for bullous emphysema. However, poor dietary habits, such as a diet low in antioxidants and high in processed foods, may also negatively impact lung health. Regular physical activity is essential for maintaining lung function, and a sedentary lifestyle can exacerbate symptoms.

Key Risk Factors

  • Age: Bullous emphysema is more common in older adults, typically those over 40.
  • Gender: Historically, men have been more affected due to higher smoking rates, but the gap is narrowing as smoking rates among women increase.
  • Geographic Location: Individuals living in urban areas with high pollution levels may be at greater risk.
  • Underlying Conditions: Pre-existing lung diseases, such as chronic bronchitis or asthma, can increase the likelihood of developing bullous emphysema.

Symptoms

Common Symptoms of Bullous Emphysema

The symptoms of bullous emphysema can vary in severity but often include:

  • Shortness of Breath: This is the most common symptom, especially during physical activity.
  • Chronic Cough: A persistent cough that may produce mucus.
  • Wheezing: A whistling sound when breathing, indicating narrowed airways.
  • Chest Tightness: A feeling of pressure or constriction in the chest.
  • Fatigue: General tiredness due to the increased effort required to breathe.

Warning Signs for Immediate Medical Attention

Certain symptoms may indicate a worsening condition or complications, requiring immediate medical attention:

  • Severe Shortness of Breath: Difficulty breathing even at rest.
  • Chest Pain: Sudden or severe chest pain that may indicate a lung collapse.
  • Cyanosis: A bluish tint to the lips or fingertips, indicating low oxygen levels.
  • Rapid Heart Rate: A significant increase in heart rate, which may signal distress.

Diagnosis

Clinical Evaluation

The diagnosis of bullous emphysema begins with a thorough clinical evaluation. Healthcare providers will take a detailed patient history, including smoking habits, exposure to environmental toxins, and family history of lung diseases. A physical examination will focus on respiratory function and may reveal signs of respiratory distress.

Diagnostic Tests

Several diagnostic tests may be employed to confirm the diagnosis:

  • Pulmonary Function Tests (PFTs): These tests measure lung capacity and airflow, helping to assess the severity of the condition.
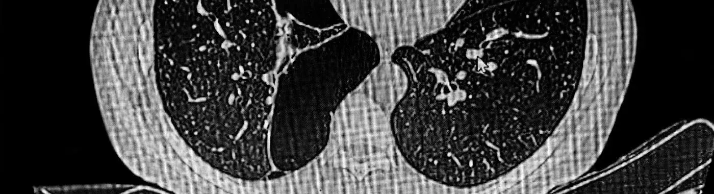
  • Imaging Studies: Chest X-rays and CT scans can reveal the presence of bullae and assess the extent of lung damage.
  • Arterial Blood Gas Analysis: This test measures oxygen and carbon dioxide levels in the blood, providing insight into lung function.

Differential Diagnosis

It is essential to differentiate bullous emphysema from other lung conditions, such as:

  • Chronic Bronchitis: Characterized by a persistent cough and mucus production.
  • Asthma: A condition that causes wheezing and shortness of breath due to airway inflammation.
  • Lung Cancer: May present with similar respiratory symptoms and requires careful evaluation.

Treatment Options

Medical Treatments

The management of bullous emphysema typically involves a combination of medical treatments:

  • Bronchodilators: Medications that help open the airways, making it easier to breathe.
  • Corticosteroids: These may be prescribed to reduce inflammation in the airways.
  • Antibiotics: Used to treat respiratory infections that can exacerbate symptoms.
  • Surgical Options: In severe cases, surgical interventions such as bullectomy (removal of bullae) or lung volume reduction surgery may be considered.

Non-Pharmacological Treatments

In addition to medications, lifestyle modifications can significantly improve quality of life:

  • Smoking Cessation: Quitting smoking is the most crucial step in managing bullous emphysema.
  • Pulmonary Rehabilitation: A structured program that includes exercise training, education, and support to improve lung function and overall health.
  • Nutritional Support: A balanced diet rich in antioxidants can help support lung health.

Special Considerations

  • Pediatric Population: While bullous emphysema is rare in children, those with genetic predispositions may require specialized care.
  • Geriatric Population: Older adults may have additional comorbidities that complicate treatment, necessitating a tailored approach.

Complications

Potential Complications

If left untreated or poorly managed, bullous emphysema can lead to several complications:

  • Pneumothorax: The rupture of a bulla can cause air to leak into the chest cavity, leading to a collapsed lung.
  • Respiratory Failure: Severe impairment of lung function can result in inadequate oxygenation of the blood.
  • Heart Problems: Chronic lung disease can strain the heart, leading to conditions such as cor pulmonale (right-sided heart failure).

Short-Term and Long-Term Complications

Short-term complications may include acute respiratory distress, while long-term complications can involve chronic respiratory failure and decreased quality of life. Regular monitoring and management are essential to mitigate these risks.

Prevention

Strategies for Prevention

Preventing bullous emphysema involves addressing modifiable risk factors:

  • Smoking Cessation: The most effective way to prevent the development of emphysema.
  • Avoiding Environmental Pollutants: Limiting exposure to harmful substances in the workplace and home.
  • Vaccinations: Staying up-to-date with vaccinations, such as the flu and pneumonia vaccines, can help prevent respiratory infections.
  • Healthy Lifestyle: Engaging in regular physical activity and maintaining a balanced diet can support lung health.

Prognosis & Long-Term Outlook

Typical Course of the Disease

Bullous emphysema is a progressive condition, and its course can vary widely among individuals. Early diagnosis and intervention can significantly improve outcomes. With appropriate management, many individuals can maintain a reasonable quality of life.

Factors Influencing Prognosis

Several factors can influence the overall prognosis, including:

  • Early Diagnosis: Identifying the condition early allows for timely intervention.
  • Treatment Adherence: Following prescribed treatment plans can help manage symptoms and prevent complications.
  • Lifestyle Changes: Committing to a healthier lifestyle can improve lung function and overall health.

Frequently Asked Questions (FAQs)

  1. What are the main symptoms of bullous emphysema?

    Common symptoms include shortness of breath, chronic cough, wheezing, chest tightness, and fatigue. If you experience severe shortness of breath or chest pain, seek medical attention immediately.

  2. How is bullous emphysema diagnosed?

    Diagnosis involves a clinical evaluation, pulmonary function tests, imaging studies like chest X-rays or CT scans, and arterial blood gas analysis to assess lung function.

  3. What are the treatment options for bullous emphysema?

    Treatment may include bronchodilators, corticosteroids, antibiotics, and in severe cases, surgical options like bullectomy or lung volume reduction surgery.

  4. Can bullous emphysema be prevented?

    Yes, prevention strategies include quitting smoking, avoiding environmental pollutants, getting vaccinated, and maintaining a healthy lifestyle.

  5. What complications can arise from bullous emphysema?

    Potential complications include pneumothorax, respiratory failure, and heart problems. Regular monitoring and management are essential to prevent these issues.

  6. Is bullous emphysema hereditary?

    While smoking is the primary cause, genetic factors, such as alpha-1 antitrypsin deficiency, can increase the risk of developing bullous emphysema.

  7. How does bullous emphysema differ from other forms of emphysema?

    Bullous emphysema is characterized by the presence of large air-filled spaces (bullae) in the lungs, while other forms may involve more diffuse damage to lung tissue.

  8. What lifestyle changes can help manage bullous emphysema?

    Quitting smoking, engaging in regular exercise, eating a balanced diet, and participating in pulmonary rehabilitation can help manage symptoms and improve lung function.

  9. When should I see a doctor for bullous emphysema?

    Seek medical attention if you experience severe shortness of breath, chest pain, rapid heart rate, or cyanosis, as these may indicate a worsening condition.

  10. What is the long-term outlook for someone with bullous emphysema?

    The prognosis varies, but early diagnosis and adherence to treatment can improve quality of life and slow disease progression.

When to See a Doctor

It is crucial to seek medical attention if you experience any of the following serious symptoms:

  • Severe shortness of breath, especially at rest.
  • Sudden chest pain or tightness.
  • Cyanosis (bluish tint to lips or fingertips).
  • Rapid heart rate or palpitations.

Conclusion & Disclaimer

Bullous emphysema is a serious lung condition that requires careful management and attention. Understanding its causes, symptoms, and treatment options can empower individuals to take control of their lung health. If you suspect you may have bullous emphysema or are experiencing respiratory symptoms, consult a healthcare professional for a thorough evaluation and personalized care.

Disclaimer: This article is for informational purposes only and does not replace professional medical advice. Always consult a healthcare provider for diagnosis and treatment options tailored to your individual needs.

image image
Request a Callback
Request A Call Back
Request Type
Image
Doctor
Book Appointment
Appointments
View Book Appointment
Image
Hospitals
Find Hospital
Hospitals
View Find Hospital
Image
health-checkup
Book Health Checkup
Health Checks
View Book Health Checkup
Image
phone
Call Us
Call Us
View Call Us
Image
Doctor
Book Appointment
Appointments
View Book Appointment
Image
Hospitals
Find Hospital
Hospitals
View Find Hospital
Image
health-checkup
Book Health Checkup
Health Checks
View Book Health Checkup
Image
phone
Call Us
Call Us
View Call Us