1066

Arachnoid Cysts - Causes, Symptoms, Diagnosis, Treatment, and Prevention

Arachnoid Cysts: Understanding, Diagnosis, and Management

Introduction

Arachnoid cysts are fluid-filled sacs that form in the arachnoid membrane, one of the three layers of tissue that cover the brain and spinal cord. While many individuals with arachnoid cysts may remain asymptomatic, these cysts can sometimes lead to significant neurological issues, making their understanding crucial for both patients and healthcare providers. This article aims to provide a comprehensive overview of arachnoid cysts, including their causes, symptoms, diagnosis, treatment options, and long-term outlook.

Definition

What are Arachnoid Cysts?

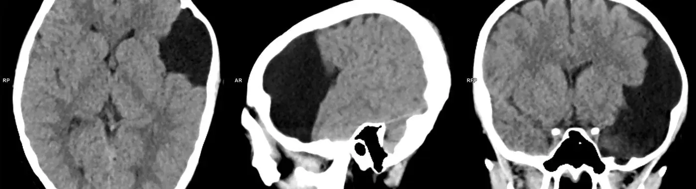
Arachnoid cysts are benign, fluid-filled sacs located between the arachnoid membrane and the brain or spinal cord. They can vary in size and may be present at birth (congenital) or develop later in life (acquired). These cysts are typically filled with cerebrospinal fluid (CSF) and can occur anywhere in the central nervous system, although they are most commonly found in the temporal lobe of the brain.

Causes and Risk Factors

Infectious/Environmental Causes

While the exact cause of arachnoid cysts is often unknown, certain infectious agents and environmental factors may play a role in their development. For instance, infections during pregnancy, such as viral infections, may contribute to the formation of these cysts in the developing fetus. However, more research is needed to establish a direct link between specific infections and arachnoid cyst formation.

Genetic/Autoimmune Causes

Genetic predisposition may also be a factor in the development of arachnoid cysts. Some studies suggest that individuals with a family history of neurological disorders may be at a higher risk. Additionally, certain genetic syndromes, such as Marfan syndrome and Ehlers-Danlos syndrome, have been associated with arachnoid cysts. Autoimmune conditions may also contribute to the formation of these cysts, although this connection is less well understood.

Lifestyle and Dietary Factors

While lifestyle and dietary factors are not directly linked to the formation of arachnoid cysts, maintaining a healthy lifestyle can support overall brain health. A balanced diet rich in antioxidants, omega-3 fatty acids, and vitamins may help reduce inflammation and promote neurological well-being. Avoiding excessive alcohol consumption and smoking can also contribute to better brain health.

Key Risk Factors

  • Age: Arachnoid cysts can occur at any age but are often diagnosed in children and young adults.
  • Gender: Males are more likely to develop arachnoid cysts than females.
  • Geographic Location: Some studies suggest that certain geographic regions may have higher incidences of arachnoid cysts, although the reasons for this are not fully understood.
  • Underlying Conditions: Individuals with a history of head trauma, neurological disorders, or congenital malformations may be at increased risk.

Symptoms

Arachnoid cysts can be asymptomatic, meaning many individuals may not experience any noticeable symptoms. However, when symptoms do occur, they can vary based on the cyst's size and location. Common symptoms include:

  • Headaches: Persistent or severe headaches may occur, particularly if the cyst exerts pressure on surrounding brain structures.
  • Seizures: Some individuals may experience seizures, especially if the cyst is located in the temporal lobe.
  • Neurological Deficits: Depending on the cyst's location, symptoms may include weakness, numbness, or coordination problems.
  • Vision or Hearing Changes: Cysts near the optic or auditory pathways may lead to visual or hearing disturbances.

Warning Signs

Certain symptoms may indicate the need for immediate medical attention, including:

  • Sudden onset of severe headaches
  • Changes in vision or hearing
  • Loss of consciousness or confusion
  • Seizures
  • Weakness or paralysis in any part of the body

If you experience any of these symptoms, it is essential to seek medical help promptly.

Diagnosis

Clinical Evaluation

The diagnosis of arachnoid cysts typically begins with a thorough clinical evaluation. Healthcare providers will take a detailed patient history, including any symptoms experienced, family history of neurological disorders, and any previous head injuries. A physical examination will also be conducted to assess neurological function.

Diagnostic Tests

Several diagnostic tests may be employed to confirm the presence of an arachnoid cyst:

  • Imaging Studies: The most common imaging technique used to diagnose arachnoid cysts is magnetic resonance imaging (MRI). MRI provides detailed images of the brain and spinal cord, allowing for accurate identification of cysts. Computed tomography (CT) scans may also be used, particularly in emergency situations.
  • Laboratory Tests: While laboratory tests are not typically used to diagnose arachnoid cysts, they may be performed to rule out other conditions or infections.
  • Specialized Procedures: In some cases, a lumbar puncture (spinal tap) may be performed to analyze cerebrospinal fluid, although this is not a standard diagnostic procedure for arachnoid cysts.

Differential Diagnosis

When diagnosing arachnoid cysts, healthcare providers must consider other conditions that may present with similar symptoms. Differential diagnoses may include:

  • Brain tumors
  • Subdural hematomas
  • Other types of cysts or lesions in the brain

Treatment Options

Medical Treatments

The treatment of arachnoid cysts depends on several factors, including the cyst's size, location, and whether it is causing symptoms. Options may include:

  • Observation: If the cyst is small and asymptomatic, a "watchful waiting" approach may be recommended. Regular follow-up imaging may be necessary to monitor any changes.
  • Medications: While there are no specific medications to treat arachnoid cysts, symptomatic relief may be provided through pain management or anti-seizure medications if seizures are present.
  • Surgical Options: In cases where the cyst is large or causing significant symptoms, surgical intervention may be necessary. Surgical options include:
    • Cystoperitoneal Shunt: This procedure involves placing a shunt to drain excess fluid from the cyst into the abdominal cavity.
    • Endoscopic Cyst Fenestration: This minimally invasive procedure involves creating an opening in the cyst to allow fluid to drain and reduce pressure on surrounding structures.

Non-Pharmacological Treatments

In addition to medical treatments, certain lifestyle modifications may help manage symptoms and improve overall well-being:

  • Dietary Changes: A balanced diet rich in fruits, vegetables, whole grains, and healthy fats can support brain health.
  • Physical Activity: Regular exercise can improve overall health and may help alleviate some symptoms associated with arachnoid cysts.
  • Stress Management: Techniques such as mindfulness, yoga, and meditation can help reduce stress and improve quality of life.

Special Considerations

Treatment approaches may vary for different populations, such as pediatric or geriatric patients. In children, careful monitoring is essential, as some arachnoid cysts may resolve on their own. In older adults, the presence of comorbidities may influence treatment decisions.

Complications

If left untreated or poorly managed, arachnoid cysts can lead to several complications:

Short-Term Complications

  • Increased Intracranial Pressure: Large cysts can cause increased pressure within the skull, leading to headaches, nausea, and vomiting.
  • Seizures: The presence of a cyst may trigger seizures, which can be distressing and require immediate medical attention.

Long-Term Complications

  • Neurological Deficits: Chronic pressure from a cyst may result in long-term neurological issues, including cognitive impairment, motor deficits, or sensory changes.
  • Hydrocephalus: In some cases, arachnoid cysts can obstruct the flow of cerebrospinal fluid, leading to hydrocephalus, a condition characterized by an accumulation of fluid in the brain.

Prevention

While there is no guaranteed way to prevent arachnoid cysts, certain strategies may help reduce the risk of their development:

  • Vaccinations: Staying up to date with vaccinations can help prevent infections that may contribute to cyst formation.
  • Hygiene Practices: Good hygiene, especially during pregnancy, can reduce the risk of infections that may affect fetal development.
  • Healthy Lifestyle: Maintaining a balanced diet, engaging in regular physical activity, and avoiding harmful substances can support overall brain health.

Prognosis & Long-Term Outlook

The prognosis for individuals with arachnoid cysts varies widely based on several factors, including the cyst's size, location, and whether it is causing symptoms. Many individuals with asymptomatic cysts lead normal lives without any complications. However, those with symptomatic cysts may require ongoing management and monitoring.

Factors Influencing Prognosis

  • Early Diagnosis: Early detection and appropriate management can significantly improve outcomes.
  • Treatment Adherence: Following medical advice and treatment plans can help prevent complications and improve quality of life.

Frequently Asked Questions (FAQs)

  1. What are the symptoms of an arachnoid cyst?

    Symptoms can vary widely. Common symptoms include headaches, seizures, and neurological deficits. Some individuals may be asymptomatic, while others may experience significant issues depending on the cyst's size and location.

  2. How are arachnoid cysts diagnosed?

    Diagnosis typically involves a clinical evaluation, including patient history and physical examination, followed by imaging studies such as MRI or CT scans to visualize the cyst.

  3. Are arachnoid cysts hereditary?

    While the exact cause is often unknown, there may be a genetic component, as some individuals with a family history of neurological disorders may be at higher risk.

  4. What treatment options are available for arachnoid cysts?

    Treatment options include observation for asymptomatic cysts, medications for symptom management, and surgical interventions for larger or symptomatic cysts.

  5. Can arachnoid cysts cause seizures?

    Yes, arachnoid cysts can lead to seizures, particularly if they are located in the temporal lobe or exert pressure on surrounding brain structures.

  6. Is surgery always necessary for arachnoid cysts?

    No, surgery is not always necessary. Many individuals with small, asymptomatic cysts can be monitored without intervention.

  7. What lifestyle changes can help manage symptoms?

    Maintaining a healthy diet, engaging in regular physical activity, and managing stress can support overall brain health and may help alleviate some symptoms.

  8. Are there any complications associated with untreated arachnoid cysts?

    Yes, untreated arachnoid cysts can lead to complications such as increased intracranial pressure, seizures, and long-term neurological deficits.

  9. How can I prevent arachnoid cysts?

    While there is no guaranteed prevention, good hygiene practices, staying up to date with vaccinations, and maintaining a healthy lifestyle can help reduce risk.

  10. When should I seek medical attention for an arachnoid cyst?

    Seek immediate medical attention if you experience sudden severe headaches, changes in vision or hearing, loss of consciousness, or seizures.

When to See a Doctor

It is crucial to seek medical attention if you experience any of the following serious symptoms:

  • Sudden onset of severe headaches
  • Changes in vision or hearing
  • Loss of consciousness or confusion
  • Seizures
  • Weakness or paralysis in any part of the body

Conclusion & Disclaimer

Arachnoid cysts are fluid-filled sacs that can vary in size and may lead to significant neurological issues if not properly managed. Understanding the causes, symptoms, diagnosis, and treatment options is essential for individuals affected by this condition. While many people with arachnoid cysts may lead normal lives, early diagnosis and appropriate management are key to preventing complications.

This article is for informational purposes only and does not replace professional medical advice. Always consult a healthcare provider for personalized medical guidance and treatment options.

image image
Request a Callback
Request A Call Back
Request Type
Image
Doctor
Book Appointment
Appointments
View Book Appointment
Image
Hospitals
Find Hospital
Hospitals
View Find Hospital
Image
health-checkup
Book Health Checkup
Health Checks
View Book Health Checkup
Image
phone
Call Us
Call Us
View Call Us
Image
Doctor
Book Appointment
Appointments
View Book Appointment
Image
Hospitals
Find Hospital
Hospitals
View Find Hospital
Image
health-checkup
Book Health Checkup
Health Checks
View Book Health Checkup
Image
phone
Call Us
Call Us
View Call Us